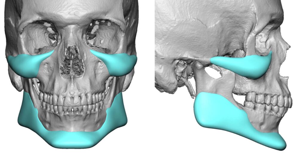
Μόνιμα Ενθέματα Προσώπου (Ζυγωματικών – Γενείου – Γωνίας Κάτω Γνάθου)
Υλικό επιλογής: Porous High-Density Polyethylene (PHDPE – MEDPOR)
Τα μόνιμα ενθέματα προσώπου αποτελούν μία αξιόπιστη λύση για τη βελτίωση ή/και αποκατάσταση της σκελετικής υποστήριξης του προσώπου. Σε αντίθεση με τα «ενέσιμα» προσωρινά fillers, τα ενθέματα PHDPE (εμπορική ονομασία MEDPOR) ενσωματώνονται μόνιμα στους ιστούς, προσφέροντας διαρκές και προβλέψιμο αποτέλεσμα.
- Τι είναι το Porous High-Density Polyethylene (MEDPOR);
- Βιοσυμβατό, αδρανές αλλοπλαστικό υλικό.
- Υψηλής πυκνότητας πολυαιθυλένιο με μικρο- και μακρο-πόρους (100–250 μm) που επιτρέπουν τον αγγειακό και ινώδη εγκολεασμό.
- Διαμορφώνεται με θερμότητα ή τροποποιείται χειρουργικά in situ.
- Παρέχει εξαιρετική μηχανική αντοχή και χαμηλό ποσοστό απορρόφησης.
- Περιοχές Εφαρμογής
- Ζυγωματικά (malar augmentation) – ενίσχυση προβολής.
- Γένειο (chin implant) – διόρθωση οπισθογναθισμού ή ασυμμετρίας.
- Γωνία κάτω γνάθου – διόρθωση ασθενών γωνιών.
- Συνδυαστικές τοποθετήσεις για ολική βελτίωση σκελετικής συμμετρίας.
- Ενδείξεις
- Υποπλασία ζυγωματικού τόξου ή/και γενείου (συγγενής ή μετατραυματική).
- Σκελετική δυσαρμονία (Κλάση ΙΙ οπισθογναθισμός, μικρογναθία κτλ.) όταν δεν απαιτείται ορθογναθική μετακίνηση.
- Ηπια ασυμμετρία προσώπου.
- Δευτερογενής αποκατάσταση ελλειμμάτων μετά από αφαίρεση όγκων ή τραύμα.
- Ασθενείς που επιθυμούν μόνιμο, σταθερό αποτέλεσμα χωρίς την ανάγκη επαναληπτικών ενέσεων.

Αντενδείξεις
- Ενεργός λοίμωξη στην περιοχή.
- Σοβαρός διαβήτης/ανοσοκαταστολή χωρίς ρύθμιση.
- Ανεπάρκεια μαλακών μορίων ή ουλώδης ιστός που δυσχεραίνουν κάλυψη.
- Μη ρεαλιστικές προσδοκίες.
- Χειρουργική Τεχνική (συνοπτικά)
- Προεγχειρητικός 3-D σχεδιασμός (CT‐scan, s/w planning) & δοκιμαστικά υποδείγματα.
- Τομή ενδοστοματικά ή/και υπογενείδια/προωτιαία, ανάλογα με την περιοχή.
- Υποπεριοστική παρασκευή ακριβούς θήκης για σταθερή τοποθέτηση.
- Πιθανή τροποποίηση του εμφυτεύματος με οστεοτόμο/τρυπάνι για τέλεια εφαρμογή.
- Σταθεροποίηση με μικροβίδες τιτανίου (συνιστάται για γωνία κάτω γνάθου).
- Συρραφή βλεννογόνου/δέρματος, τοποθέτηση πιεστικής επίδεσης.
- Χρόνος επέμβασης: 60–90 min – ημερήσια νοσηλεία.
- Πλεονεκτήματα μόνιμων ενθεμάτων προσώπου (PHDPE – MEDPOR)
- Μόνιμο αποτέλεσμα (δεν απορροφάται).
- Ινοαγγειακή ενσωμάτωση → μικρότερος κίνδυνος μετατόπισης σε σχέση με σιλικόνη.
- Δυνατότητα λεπτομερούς εξατομίκευσης & προσαρμογής.
- Υψηλή βιοσυμβατότητα – ελάχιστη αντίδραση ξένου σώματος.
- Δεν είναι υδρόφιλο → δεν αλλοιώνεται με την πάροδο των χρόνων.
- Δυνατότητα ταυτόχρονης οστεοτομίας/ορθογναθικής διόρθωσης.
- Μειονεκτήματα
- Χειρουργική πράξη – ανάγκη αναισθησίας (τοπική με μέθη ή γενική).
- Μακρύτερος χρόνος ανάρρωσης σε σχέση με fillers (7–14 ημέρες οίδημα).
- Μόνιμο: η αφαίρεση/τροποποίηση απαιτεί νέα επέμβαση.
- Υψηλότερο αρχικό κόστος από ενέσιμα.
- Πιθανές Επιπλοκές
Συχνότητα επιπλοκών ~1–5 % σε έμπειρα χέρια.
- Πρώιμο ή καθυστερημένο αιμάτωμα.
- Φλεγμονή ή λοίμωξη (0,5–1 %) – αντιμετώπιση με αντιβίωση ή αφαίρεση.
- Αίσθηση μουδιάσματος (υποκόγχιου ή γενειακού νεύρου) – συνήθως παροδική.
- Ασυμμετρία ή μετατόπιση (σπάνια).
- Υπερδιόρθωση ή υποδιόρθωση – πιθανή δευτερογενής τροποποίηση.
- Ουλές βλεννογόνου ή δέρματος (σπάνια υπερτροφικές).
- Σύγκριση PHDPE (MEDPOR) με Ενέσιμα Υαλουρονικού Οξέος

Τα μόνιμα ενθέματα PHDPE προσφέρουν μακροχρόνια, σταθερή βελτίωση σκελετικής υποστήριξης και είναι ιδανικά για ασθενείς με ανατομικά ελλείμματα ή για όσους επιθυμούν μόνιμο αποτέλεσμα χωρίς συχνές επαναλήψεις. Απαιτούν όμως χειρουργική προσέγγιση και συνεπώς έχουν μεγαλύτερο χρόνο αποκατάστασης.
Τα fillers υαλουρονικού οξέος αποτελούν άριστη ελάχιστα επεμβατική λύση για μικρότερες διορθώσεις και για ασθενείς που προτιμούν αναστρέψιμες θεραπείες. Το μειονέκτημα είναι η ανάγκη συντήρησης και ο σπάνιος –αλλά σοβαρός– κίνδυνος αγγειακών επιπλοκών.
Καθοριστικός παράγοντας επιτυχίας παραμένει η σωστή εξατομίκευση: κλινική εξέταση, 3-D απεικόνιση, επικοινωνία με τον ασθενή και εμπειρία του χειρουργού.
 
				