Aρθρογραφία
Φρονιμίτες: Συμπτώματα, Διάγνωση και Επιλογές Θεραπείας
Οι φρονιμίτες, ή τρίτοι γομφίοι, είναι τα τελευταία δόντια που αναπτύσσονται και ανατέλλουν στο στόμα, συνήθως μεταξύ 17 και 25 ετών. Για πολλούς ανθρώπους, η εμφάνισή τους μπορεί να προκαλέσει ποικίλα προβλήματα, λόγω της έλλειψης χώρου στη γνάθο. Συμπτώματα Τα...
Άμεση Τοποθέτηση Εμφυτευμάτων
Η άμεση τοποθέτηση εμφυτευμάτων είναι μια καινοτόμος διαδικασία που επιτρέπει την τοποθέτηση εμφυτεύματος αμέσως μετά την εξαγωγή ενός δοντιού. Αυτή η προσέγγιση κερδίζει ολοένα και περισσότερη αποδοχή λόγω των πολλών πλεονεκτημάτων που προσφέρει, αλλά συνοδεύεται...
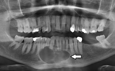
Αδαμαντινοβλάστωμα
Το αδαμαντινοβλάστωμα είναι ένας σπάνιος, καλοήθης όγκος που προέρχεται από τα κύτταρα που σχηματίζουν την αδαμαντίνη (σμάλτο) των δοντιών. Εμφανίζεται κυρίως στη γνάθο και, παρά τη μη κακοήθη φύση του, μπορεί να οδηγήσει σε σημαντικά προβλήματα αν δεν αντιμετωπιστεί...
Διάρκεια ζωής των Οδοντικών Εμφυτευμάτων
Τα οδοντικά εμφυτεύματα προσφέρουν μια αξιόπιστη και μακροχρόνια λύση για την αντικατάσταση των χαμένων δοντιών, εξασφαλίζοντας εξαιρετικά αισθητικά και λειτουργικά αποτελέσματα. Λειτουργούν ως τεχνητές ρίζες, υποστηρίζοντας προσθετικές λύσεις όπως θήκες ή γέφυρες. Η...
“All-on-4” Εμφυτεύματα
Τι είναι τα "All-on-4" Εμφυτεύματα; Τα "All-on-4" είναι μια καινοτόμος τεχνική που επιτρέπει την αποκατάσταση ολόκληρης της οδοντοστοιχίας με τη χρήση μόνο τεσσάρων οδοντικών εμφυτευμάτων ανά γνάθο. Αυτή η μέθοδος προσφέρει μια σταθερή βάση για μια πλήρη σταθερή...
Το όμορφο χαμόγελο δεν έχει ηλικία
Οδοντικά Εμφυτεύματα στους Ηλικιωμένους Στη σημερινή εποχή, η διατήρηση ενός υγιούς και όμορφου χαμόγελου είναι σημαντική για όλους, ανεξαρτήτως ηλικίας. Τα οδοντικά εμφυτεύματα αποτελούν μια εξαιρετική λύση για την αποκατάσταση της στοματικής υγείας και την ενίσχυση...
Πόσο επικίνδυνο μπορεί να είναι ένα Οδοντικό Απόστημα;
Τα οδοντικά αποστήματα είναι μια σοβαρή κατάσταση που δεν πρέπει ποτέ να αγνοείται και απαιτεί άμεση ιατρική φροντίδα. Σε αυτό το άρθρο, θα αναλύσουμε τι είναι ένα οδοντικό απόστημα, τα συμπτώματα, τις πιθανές επιπλοκές και τη σημασία της άμεσης θεραπείας. Τι Είναι...






