Ως κύστη ορίζεται μια παθολογική κοιλότητα που επαλείφεται από επιθήλιο. Οι κοιλότητες που δεν επαλείφονται από επιθήλιο χαρακτηρίζονται ως ψευδοκύστεις.
Οι κύστεις που εντοπίζονται στην άνω και την κάτω γνάθο και τις περιοχές γύρω από τη στοματική κοιλότητα εμφανίζουν μεγάλη ποικιλία όσον αφορά στην ιστογένεση, την επίπτωση, τη συμπεριφορά και την αντιμετώπισή τους. Οι κύστεις αυτές διακρίνονται σε:
- Οδοντογενείς
- Μη οδοντογενείς
- Ψευδοκύστεις και
- Τραχηλικές κύστεις.
1) Οδοντογενείς Κύστεις
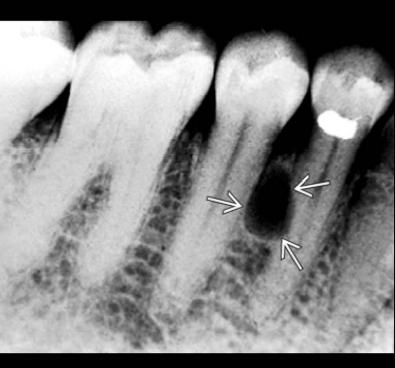
1.α. Περιακρορριζική κύστη – Υπολειμματική κύστη
 
 
Οι κύστεις της κατηγορίας αυτής είναι οι συνηθέστερες που απαντώνται στις γνάθους. Η επιθηλιακή επένδυση των φλεγμονωδών αυτών κύστεων προέρχεται από τον πολλαπλασιασμό οδοντογενών επιθηλιακών καταλοίπων εντός του περιοδοντικού συνδέσμου.
Αιτιολογία και παθογένεση
Μια περιακρορριζική κύστη αναπτύσσεται από ένα προϋπάρχον περιακρορριζικό κοκκίωμα. Τούτο ορίζεται ως ο εντοπισμένος, χρόνια φλεγμαίνων κοκκιώδης ιστός κοντά στο ακρορρίζιο ενός νεκρού δοντιού. Ο σχηματισμός της κύστης αποσκοπεί στην απομόνωση του φλεγμονώδους ερεθίσματος (νεκρός πολφός) από το οστό που περιβάλλει το δόντι και είναι το αποτέλεσμα της επιθηλιακής διαφοροποίησης.
Κλινικά χαρακτηριστικά
To ποσοστό των περιακρορριζικών κύστεων κυμαίνεται από 52%-68% επί του συνόλου των κύστεων. Η συχνότητα εμφάνισής τους κορυφώνεται κατά την τρίτη δεκαετία της ζωής και παραμένει υψηλή κατά την 4η-6η δεκαετία.
Υπάρχει ελαφρά προτίμηση προς τους άντρες, που εξηγείται εν μέρει από την μεγαλύτερη επιμέλεια που επιδεικνύουν οι γυναίκες στη φροντίδα της στοματικής τους υγιεινής και εν μέρει από τον αυξημένο κίνδυνο τραυματισμού των προσθίων οδόντων στους άντρες.
Οι περιακρορριζικές κύστεις είναι συνήθως ασυμπτωματικές και αποκαλύπτονται τυχαία κατά τη λήψη περιακρορριζικών ακτινογραφιών νεκρών οδόντων. Μια περιακρορριζική κύστη δεν μπορεί εύκολα να διακριθεί ακτινογραφικά από ένα περιακρορριζικό κοκκίωμα.
Σε κύστεις που υπάρχουν για αρκετό χρονικό διάστημα μπορεί να παρατηρηθεί απορρόφηση της ρίζας του υπεύθυνου δοντιού ή γειτονικών δοντιών. Οι περιακρορριζικές κύστεις θεωρούνται μια από τις συχνότερες, αν όχι η συχνότερη, αιτία εμφάνισης διόγκωσης στις γνάθους. Συχνά οι ασθενείς δίνουν ιστορικό παρουσίας χρόνιας, βραδέως αυξανόμενης διόγκωσης, η οποία αρχικά είναι σκληρής συστάσεως ανάλογης οστού. Καθώς η κύστη αυξάνεται, και παρά την εναπόθεση νέου οστίτη ιστού, το οστικό τοίχωμα της κύστης λεπταίνει βαθμιαία και η διόγκωση δίνει την εντύπωση κελύφους αυγού. Μόνο όταν ραγεί το οστικό τοίχωμα της κύστης μπορεί να παρατηρηθεί κλυδασμός. Στην άνω γνάθο η διόγκωση μπορεί να επεκτείνεται τόσο παρειακά όσο και υπερώια, ενώ κατά κανόνα στην κάτω γνάθο η διόγκωση επεκτείνεται παρειακά.
! Η ύπαρξη ενός νεκρού δοντιού είναι εξ’ ορισμού απαραίτητη για να τεθεί η διάγνωση της περιακρορριζικής κύστης.
Πόνος και παρουσία επιλοίμωξης έχουν αναφερθεί ανάμεσα στα κλινικά χαρακτηριστικά μιας περιακρορριζικής κύστης.
Μια ιδιαίτερη κατηγορία περιακρορριζικών κύστεων είναι οι υπολειμματικές κύστεις. Πρόκειται ουσιαστικά για περιακρορριζικές κύστεις που παραμένουν μετά την εξαγωγή του υπεύθυνου δοντιού. H συχνότητα των κύστεων αυτών φαίνεται να φτάνει το 10% των οδοντογενών κύστεων.
Θεραπεία και πρόγνωση
Γενικά υπάρχουν τέσσερις δυνατότητες για την αντιμετώπιση μιας περιακρορριζικής αλλοίωσης.
- Μια περιακρορριζική αλλοίωση (κύστη/κοκκίωμα) μπορεί να αντιμετωπιστεί επιτυχώς με την εξαγωγή του υπεύθυνου νεκρωμένου δοντιού και χειρουργικό καθαρισμό της περιακρορριζικής περιοχής.
- Εναλλακτικά, μπορεί να πραγματοποιηθεί ενδοδοντική θεραπεία σε συνδυασμό με ακρορριζεκτομή (άμεσος χειρουργικός καθαρισμός της βλάβης).
- Η τρίτη μέθοδος περιλαμβάνει μόνο ενδοδοντική θεραπεία, καθώς οι περιακρορριζικές βλάβες είναι συχνά κοκκιώματα και υποχωρούν μετά την απομάκρυνση του φλεγμονώδους ερεθίσματος.
- Χειρουργική αντιμετώπιση επιφυλάσσεται για τις βλάβες εκείνες που ανθίστανται στη θεραπεία, κάτι που υποδηλώνει είτε την πιθανή παρουσία κύστης είτε ανεπαρκή ενδοδοντική θεραπεία.
Στην περίπτωση που δεν αντιμετωπιστεί, είτε η υπολειμματική είτε η αρχική περιακρορριζική κύστη, η συνεχιζόμενη αύξησή της μπορεί να προκαλέσει σημαντική οστική απορρόφηση και εξασθένιση της άνω ή της κάτω γνάθου.
1β. Οδοντοφόρος Κύστη

 
  
 
Οι οδοντοφόρες κύστεις είναι οι δεύτερες σε συχνότητα εμφάνισης οδοντογενείς κύστεις, και αποτελούν τις πιο κοινές αναπτυξιακές κύστεις των γνάθων.
Εξ ορισμού η οδοντοφόρος κύστη προσφύεται στον αυχένα και περιβάλλει τη μύλη ενός εγκλείστου δοντιού.
Είναι σημαντικό η διάγνωση “οδοντοφόρος κύστη” να μην τίθεται αποκλειστικά και μόνο με βάση τα ακτινογραφικά ευρήματα, καθώς στην περίπτωση αυτή οδοντογενείς κερατινοκύστεις και μονόχωρα αδαμαντινοβλαστώματα που εμπλέκουν έγκλειστα δόντια είναι δυνατό να διαγνωστούν λανθασμένα ως οδοντοφόρες κύστεις.
Αιτιολογία και παθογένεση
Η οδοντοφόρος κύστη αναπτύσσεται από τον πολλαπλασιασμό των κυτταρικών υπολειμμάτων ή του επιθηλίου του οργάνου της αδαμαντίνης.
Κλινικά χαρακτηριστικά
Οι οδοντοφόρες κύστεις απαντώνται συχνότερα σε σχέση με τρίτους γομφίους της κάτω ή άνω γνάθου και κυνόδοντες της άνω γνάθου, οι οποίοι είναι και οι συχνότεροι τύποι έγκλειστων δοντιών.
Η υψηλότερη επίπτωση των οδοντοφόρων κύστεων εμφανίζεται κατά τη δεύτερη και τρίτη δεκαετία της ζωής και έχουν υψηλότερη επίπτωση στους άντρες.
Συνήθως τα συμπτώματα απουσιάζουν, ενώ η καθυστερημένη ανατολή ενός δοντιού είναι η συχνότερη ένδειξη ύπαρξης οδοντοφόρου κύστης. Οι ασθενείς είναι δυνατό να παρατηρήσουν αργά αυξανόμενη διόγκωση. Μια κύστη μπορούσε να φτάσει τα 4-5 εκ. σε διάμετρο σε χρονικό διάστημα 3-4 ετών. Η κύστη είναι δυνατό να φτάσει σε μεγάλες διαστάσεις, ενώ σπάνια φτάνει σε τέτοιο μέγεθος ώστε να προδιαθέτει σε παθολογικό κάταγμα. Σε περίπτωση επιμόλυνσης, η κύστη μπορεί να γίνει επώδυνη.
Μπορεί να παρατηρηθεί ακόμη απορρόφηση των ριζών των παρακείμενων δοντιών, που έχουν ήδη ανατείλει. Φαίνεται μάλιστα πως οι οδοντοφόρες κύστεις εμφανίζουν μεγαλύτερο δυναμικό απορρόφησης παρακείμενων ριζών σε σχέση με άλλα είδη κύστεων, κάτι που αποδίδεται στον ιδιαίτερο ρόλο του οδοντοθυλακίου.
Αντιμετώπιση
Η αφαίρεση των εμπλεκόμενων δοντιών και η εκπυρήνιση των μαλακών μορίων αποτελεί οριστική θεραπεία στις περισσότερες των περιπτώσεων. Όταν οι κύστεις επεκτείνονται σε μεγάλο τμήμα της κάτω γνάθου, μια αποδεκτή θεραπευτική προσέγγιση είναι η μαρσιποποίηση ή στοματοποίηση της κύστης, ώστε να επιτραπεί η αποσυμπίεση και η επακόλουθη σμίκρυνση της βλάβης, μειώνοντας έτσι την έκταση της επέμβασης για εκτομή της βλάβης, που ενδεχομένως να χρειασθεί να γίνει σε δεύτερη φάση.
1γ. Πλάγια Περιοδοντική Κύστη
 
 
Η πλάγια περιοδοντική κύστη είναι μια μη κερατινοποιημένη αναπτυξιακή κύστη, που δημιουργείται χωρίς φλεγμονώδες ερέθισμα στα πλάγια της ρίζας ενός υγιούς δοντιού από οδοντικά επιθηλιακά υπολείμματα. Δεν υπάρχει συσχέτιση με περιοδοντικούς θυλάκους.
1δ. Ουλική κύστη των νεογνών
Οι ουλικές κύστεις των νεογνών εμφανίζονται τυπικά ως πολλαπλά οζίδια στη φατνιακή ακρολοφία των νεογνών. Στη μεγάλη τους πλειοψηφία οι κύστεις αυτές υποστρέφουν και εκκενώνονται ή ρήγνυνται εντός της στοματικής κοιλότητας.
1ε. Κύστη ανατολής

Η κύστη αυτή προκύπτει από συγκέντρωση υγρού εντός του θυλακικού χώρου ενός δοντιού που ανατέλλει.
Καμιά θεραπεία δεν απαιτείται, καθώς το δόντι ανατέλλει διαμέσου της βλάβης. Μετά την ανατολή η κύστη εξαφανίζεται αυτόματα χωρίς επιπλοκές.
2) Μη Οδοντογενείς Κύστεις
Κύστη του Ρινοϋπερώιου Πόρου
 
 
Οι κύστεις αυτές εντοπίζονται εντός του αντίστοιχου πόρου ή εντός των μαλθακών ιστών στη μέση γραμμή της άνω γνάθου, ανάμεσα στους κεντρικούς τομείς, στο στόμιο του πόρου.
Αιτιολογία και παθογένεση
Η κύστη του ρινοϋπερώιου πόρου αναπτύσσεται από τον πολλαπλασιασμό επιθηλιακών υπολειμμάτων από το ζεύγος των εμβρυϊκών ρινοϋπερώιων πόρων που πορεύονται εντός του τομικού πόρου.
Το ερέθισμα για το σχηματισμό κύστης από αυτά τα υπολείμματα είναι αβέβαιο, αν και η βακτηριακή επιμόλυνση και/ή το τραύμα έχει θεωρηθεί ότι έχουν σημασία. Εναλλακτικά, έχει προταθεί ότι οι βλεννώδεις αδένες της επένδυσης του πόρου προκαλούν τη δημιουργία κύστης λόγω παρεμπόδισης της έκκρισης βλέννης.
Κλινικά χαρακτηριστικά
Πρόκειται για μια σχετικά συχνή κύστη, που μπορεί να εμφανιστεί κλινικά ως συμμετρική διόγκωση της μέσης γραμμής της υπερώας ή ακτινογραφικά σαν ακτινοδιαυγή περιοχή της μέσης γραμμής. Η πλειοψηφία των περιπτώσεων εμφανίζεται ανάμεσα στην 4η και 6η δεκαετία της ζωής και είναι συχνότερη στους άνδρες με αναλογία 3:1.
Οι περισσότερες περιπτώσεις είναι ασυμπτωματικές, με τη διόγκωση να είναι το κλινικό σημείο που οδηγεί στην αναγνώριση της κύστης.
Επιμόλυνση της κύστης μπορεί να οδηγήσει στην εμφάνιση συμπτωμάτων. Σχηματισμός συριγγίου μπορεί να εμφανιστεί μάλλον στο προέχον σημείο της υπερώιας θηλής.
Θεραπεία και πρόγνωση
Η κύστη απαιτεί χειρουργική εκπυρήνιση. Σε μεγάλες κύστεις μπορεί αρχικά να γίνει μαρσιποποίηση πριν την οριστική εκπυρήνιση. Τα ποσοστά υποτροπής είναι χαμηλά.
3) Ψευδοκύστεις
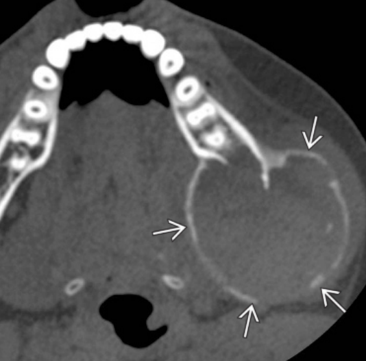
3.1. Ανευρυσματική Οστική Κύστη
 
 
Οι κύστεις αυτές είναι ψευδοκύστεις γιατί εμφανίζονται ακτινογραφικά σαν κυστικές βλάβες, μικροσκοπικά όμως δεν έχουν επιθηλιακή επένδυση. Η ανευρυσματική οστική κύστη αντιπροσωπεύει μια καλοήθη οστική βλάβη, η οποία μπορεί να παρουσιαστεί στην άνω ή την κάτω γνάθο, καθώς και σε άλλα οστά. Πιο συγκεκριμένα, εντός του κρανιοπροσωπικού συμπλέγματος, περίπου το 40% των βλαβών αυτών εμφανίζεται στην κάτω γνάθο και το 25% στην άνω.
Αιτιολογία και παθογένεια
Μολονότι η παθογένεια της ανευρυσματικής οστικής κύστης δεν είναι πλήρως γνωστή, η όλη διαδικασία θεωρείται συνήθως σαν αντιδραστική.
Κλινικά χαρακτηριστικά
Οι ανευρυσματικές οστικές κύστεις εμφανίζονται τυπικά σε ασθενείς νεότερους των 30 ετών.
Όταν εμπλέκονται η άνω και η κάτω γνάθος, επηρεάζονται συχνότερα οι πλέον οπίσθιες περιοχές. Πόνος αναφέρεται στο ήμισυ περίπου των ασθενών, ενώ μια σκληρή, άσφυγμη διόγκωση αποτελεί κοινό κλινικό σημείο. Κατά την ακρόαση δεν ακούγεται ροή αίματος, ενδεικτικό ότι το αίμα δεν εντοπίζεται εντός ενός αρτηριακού χώρου. Σε έντονη ψηλάφιση μπορεί να παρουσιαστεί κλυδασμός.
Στην περίπτωση που η κύστη επεκτείνεται και στο φατνιακό τμήμα της άνω και της κάτω γνάθου, τα δόντια είναι δυνατόν να παρεκτοπιστούν με ή χωρίς εξωτερική απορρόφηση των ριζών.
3.2. Ρινοχειλική ή Ρινοφατνιακή Κύστη
 
 
Οι ρινοχειλικές κύστεις εντοπίζονται στα μαλακά μόρια του άνω χείλους. Είναι σπάνιες βλάβες με την κορύφωση της επίπτωσής της να παρατηρείται στην 4η και 5η δεκαετία της ζωής.
Το κύριο κλινικό σημείο είναι η διόγκωση των μαλακών μορίων, που παρουσιάζεται στην περιοχή των κυνοδόντων ή της ουλοχειλικής αύλακας. Ακτινογραφικά εμφανίζεται διαύγαση στην περιοχή του τομικού πόρου.
Η κύστη αντιμετωπίζεται με εκπυρήνιση και αναμένονται λίγες υποτροπές.
3.3. Τραυματική οστική κύστη (traumatic bone cyst)
 
 
Η τραυματική οστική κύστη είναι μια άδεια ενδοστική κοιλότητα, η οποία στερείται επιθηλιακού τοιχώματος. Ανευρίσκεται κυρίως στην κάτω γνάθο.
Παθογένεση
Η παθογένεση της βλάβης δεν είναι γνωστή, αν και σε μερικές περιπτώσεις φαίνεται πως συσχετίζεται με προηγούμενο τραύμα. Πιστεύεται ότι ο τραυματισμός της περιοχής δημιουργεί αιμάτωμα στον ενδομυελικό χώρο του οστού. Αντί να οργανωθεί, ο θρόμβος αποσυντίθεται, καταλείποντας κατ’ αυτόν τον τρόπο μια άδεια οστική κοιλότητα.
Εναλλακτικές θεωρίες παθογένεσης περιλαμβάνουν την κυστική εκφύλιση πρωτοπαθών όγκων των οστών, όπως το κεντρικό γιγαντοκυτταρικό κοκκίωμα, διαταραχές του μεταβολισμού του ασβεστίου και ισχαιμική νέκρωση του μυελού των οστών.
Κλινικά χαρακτηριστικά
Οι έφηβοι προσβάλλονται συχνότερα, μολονότι τραυματικές οστικές κύστεις έχουν περιγραφεί σε ένα μεγάλο φάσμα ηλικιών. Δεν φαίνεται να υπάρχει προτίμηση προς κάποιο φύλο.
Θεραπεία και πρόγνωση
Μόλις επιτευχθεί είσοδος στην κυστική κοιλότητα, ο Χειρουργός θα πρέπει απλά να προκαλεί αιμορραγία εντός της βλάβης πριν τη σύγκλειση. Η οργάνωση του θρόμβου εξασφαλίζει πλήρη οστική επούλωση, χωρίς υποτροπή.
3.4. Στατική ή Ιδιοπαθής οστική κύστη (κύστη του Staffne)
Η στατική οστική κύστη είναι μια ανατομική παραλλαγή της οπίσθιας γλωσσικής επιφάνειας της κάτω γνάθου, που φαίνεται να ομοιάζει σε κύστη κατά την ακτινογραφική εξέταση. Το εντύπωμα αυτό της κάτω γνάθου πιστεύεται ότι είναι μια ανατομική παραλλαγή, μολονότι όλες οι αναφερόμενες περιπτώσεις εντοπίζονται σε ενήλικες, συχνότερα δε σε άντρες. Οι βλάβες αυτές ανευρίσκονται συχνότερα αμφοτερόπλευρα, σπανιότερα εντοπίζονται σε θέση εγγύτερα του πρώτου γομφίου της κάτω γνάθου.
Η αιτία είναι άγνωστη, μολονότι μερικοί έχουν προτείνει ότι η βλάβη οφείλεται σε παγίδευση σιελογόνου αδένα ή μαλακών μορίων κατά την ανάπτυξη της κάτω γνάθου.
Η βλάβη είναι ασυμπτωματική και συχνά ανακαλύπτεται τυχαία κατά τη λήψη πανοραμικής ακτινογραφίας. Η παρουσία αδενικού ιστού εντός της βλάβης επιβεβαιώνεται με σιελογραφία.
 
				