Η εκτομή του χαλινού είναι μια μικρή χειρουργική επέμβαση που πραγματοποιείται για την αντιμετώπιση προβλημάτων που σχετίζονται με τον περιορισμό της κίνησης των χειλιών ή της γλώσσας. Αυτές οι καταστάσεις συχνά επηρεάζουν τη λειτουργία, την ομιλία και την στοματική υγιεινή.
Τι είναι ο Χαλινός;
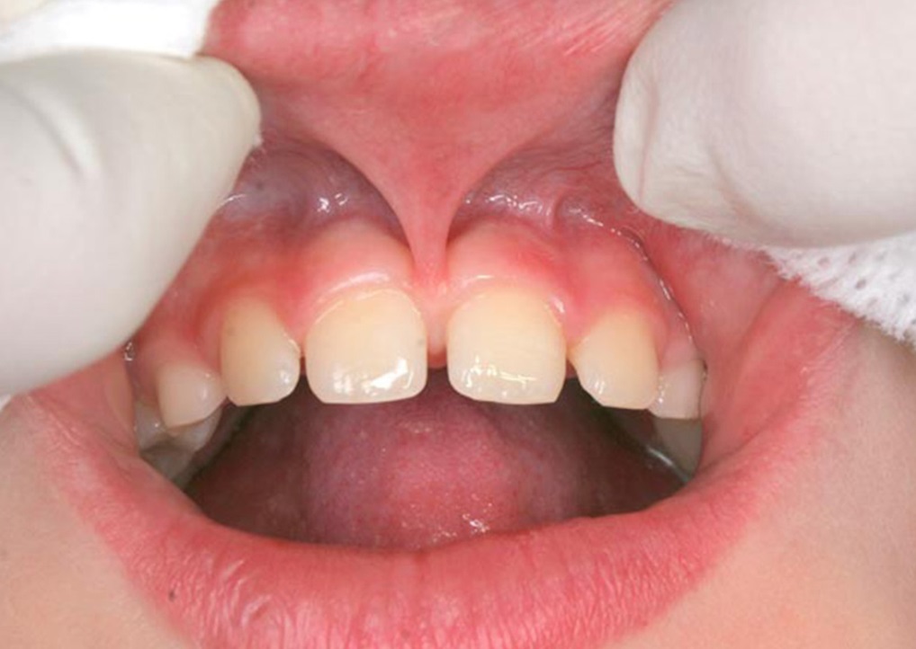
Ο χαλινός είναι μια μικρή πτυχή ιστού που συνδέει τα χείλη ή τη γλώσσα με τα ούλα. Υπάρχουν τρεις κύριοι τύποι:
Χαλινός Άνω Χείλους: Συνδέει το άνω χείλος με τα άνω ούλα.
Χαλινός Κάτω Χείλους: Συνδέει το κάτω χείλος με τα κάτω ούλα.
Γλωσσικός Χαλινός : Συνδέει τη γλώσσα με το έδαφος του στόματος.
Ενδείξεις για Εκτομή Χαλινού
Η εκτομή του χαλινού μπορεί να είναι απαραίτητη στις ακόλουθες περιπτώσεις:
- Περιορισμένη Κινητικότητα: Η υπερβολική τάση ή τοποθέτηση του χαλινού μπορεί να περιορίζει την κίνηση.
- Ορθοδοντικά Προβλήματα: Μπορεί να προκαλέσει διάστημα μεταξύ των δοντιών ή να επηρεάσει την ανάπτυξη της οδοντοστοιχίας.
- Δυσκολίες στην Ομιλία: Ειδικά ο γλωσσικός χαλινός, μπορεί να επηρεάσει την άρθρωση.
- Στοματική Υγιεινή: Δυσκολία στον καθαρισμό της στοματικής κοιλότητας λόγω περιορισμένης κίνησης.
Διαδικασία Εκτομής
Η διαδικασία εκτομής είναι σχετικά απλή και περιλαμβάνει τα εξής βήματα:
- Αξιολόγηση: Ο γναθοχειρουργός θα αξιολογήσει την ανατομία και τη λειτουργικότητα του χαλινού.
- Αναισθησία: Τοπική αναισθησία εφαρμόζεται στην περιοχή για να εξασφαλιστεί η άνεση του ασθενούς.
- Χειρουργική Εκτομή: Ο χαλινός αφαιρείται ή τροποποιείται για να απελευθερωθεί η κίνηση.
- Αποκατάσταση: Η πληγή κλείνεται με ράμματα αν είναι απαραίτητο.
Μετεγχειρητική Φροντίδα
- Ανάπαυση: Αποφύγετε έντονες δραστηριότητες για μερικές ημέρες.
- Διατροφή: Μαλακές τροφές και αποφυγή ζεστών ή πικάντικων.
- Υγιεινή: Προσεκτικό βούρτσισμα και χρήση αντισηπτικού στοματικού διαλύματος.
Πιθανές Επιπλοκές
Αν και σπάνιες, οι επιπλοκές μπορεί να περιλαμβάνουν:
Λοίμωξη, αιμορραγία, δημιουργία ουλής
Η εκτομή του χαλινού είναι μια απλή και αποτελεσματική διαδικασία για τη βελτίωση της στοματικής λειτουργίας και της ποιότητας ζωής του ασθενούς. Η έγκαιρη διάγνωση και η κατάλληλη θεραπεία από έναν ειδικό γναθοχειρουργό μπορούν να εξασφαλίσουν άριστα αποτελέσματα.
Για περισσότερες πληροφορίες ή για να κλείσετε ραντεβού, παρακαλούμε επικοινωνήστε μαζί μας.
 
				